Naslovna
Nazovite nas!

091 333 8108

Znamo kako riješiti vaše oralne probleme

Privatna stomatološka ordinacija doktora dentalne medicine Lidija Crvelin Jelić, koja je i sudski vještak, prvu ordinaciju otvara u Zadru 1986., dok 1993. godine otvara ordinaciju u Zagrebu na adresi Hrgovići 33. Uz privatne usluge nudimo i usluge preko Croatia zdravstvenog osiguranja i Merkur osiguranja.

  • 40 godina iskustva dentalne medicine
  • Profesionalan tim stručnjaka
  • Spoj modernog i iskusnog
Naruči se
Usluge

U Dental Centru Jelić

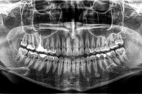
Ortopan CBCT (3D i 2D)

Bez naručivanja i čekanja u 30 sekundi napravit ćemo trodimenzionalnu sliku vaših zubi koju možete dobiti na CD-u ili vam šaljemo na mail.

iTOP Edukacija

Samo individualni trening kojeg vode, oblikuju i stalno nadziru stručnjaci za oralnu higijenu daje dugotrajni uspjeh. Naš odgovor je: iTOP!

Protetika

Ukoliko vam nedostaje nekoliko zubi napravit ćemo dijagnostiku i predložiti vam najbolje rješenje u vidu izrade krunica, mostova ili proteza.

Zubni implantati

Vratit ćemo vam osmijeh i samopouzdanje implantatima koji su najsličniji prirodnim zubima.

Izbjeljivanje

Pobrinut ćemo se da vaš osmijeh dobije na svjetlini i sjaju našim tretmanom izbjeljivanja.

Estetska stomatologija

Estetska stomatologija je grana stomatologije koja se usko bavi unaprijeđenjem zdravlja zuba i usne šupljine, uljepšavanjem osmijeha i izgleda pacijenta.

Zubni aparatić

Izrađujemo mobilne i fiksne aparatiće koji sprječavaju veće nepravilnosti u zagrizu i položaju zuba, a mogu i trajno riješiti problem.

Prevencija i edukacija

Očistiti ćemo vaše zube, napraviti dijagnostiku i dati vam mišljenje ukoliko su potrebni određeni zahvati.

Prevencija s pjeskarenjem

U ordinaciji primjenjujemo ultrazvučni odstranjivač kamenca, kojim potpuno bezbolno odstranjujemo zubni kamenac i meke naslage i to supragingivalno i subgingivalno.

Diodni Laser Claros pico

Naš laser brzo, bezbolno, učinkovito i s manje krvarenja rješava različite stomatološke probleme!

Dječja stomatologija

Želite da vaša djeca imaju zdrave i lijepe zube, ali ne znate kako?

Oralna kirurgija

Oralna kirurgija stomatološka je grana koja se odnosi na kirurške zahvate na području naših usta i čeljusti.

Parodontologija

Ukoliko otežano žvačete, imate klimave zube, krvarenje zubnog mesa ili upalu desni vrlo je moguće da imate bolest parodonta. Vrlo važno je da se javite što prije kako bolest ne bi uznapredovala.

Endodoncija

Tretmani liječenja i punjenja korijenskih kanala

ALL‑ON‑4

Početak puta prema trajnom osmijehu

Doktori

Naši stručnjaci

Lidija Crvelin-Jelić
Lidija Crvelin-Jelić
Doktor dentalne medicine
Vlatko Lovrinić
Vlatko Lovrinić
Doktor dentalne medicine, specijalist kirurgije
Iva Vinković Rajković
Iva Vinković Rajković
Doktor dentalne medicine, specijalist ortodoncije
Jelena Pavičić
Jelena Pavičić
Doktor dentalne medicine
Nikolina Pilipović
Nikolina Pilipović
Doktor dentalne medicine
Antonija Martinović
Antonija Martinović
Doktor dentalne medicine
Oleksii Petrash
Oleksii Petrash
Doktor dentalne medicine
Vanja Varga
Vanja Varga
Doktor dentalne medicine
Ana Špoljarić
Ana Špoljarić
Doktor dentalne medicine
Recenzije

Naši pacijenti su naša najveća preporuka

Sve na jednom mjestu za sve generacije

Vrhunska stomatologija u opuštajućoj atmosferi i ugodnom ambijentu. Naš cilj su zadovoljni pacijenti.

Naruči se