Ortodoncija je grana stomatologije koja se bavi provođenjem terapije ortodonskih
anomalija uz pomoć zubni aparatića – klasične metalne bravice i bravice u boji zuba.
Educirmo roditelje da naprave djeci ortopan, pogotovo ako već roditelji imaju u svojoj anamnezi imaju probleme sa položajem zuba i zagrizom.

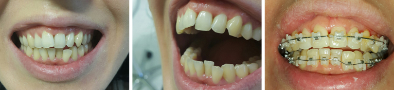
Kompresija – S aparatom nakon 4 mjeseca gornji i donji nakon 1 mjeseca. Foto: Dental Centar Jelić
Vrhunska stomatologija u opuštajućoj atmosferi i ugodnom ambijentu. Naš cilj su zadovoljni pacijenti.
Naruči se